Es la inflamación de la estructura denominada fascia plantar, que da soporte al pie y ayuda a formar el arco plantar. Es gruesa, tiene forma de abanico y se compone de fibras colágenas principalmente.
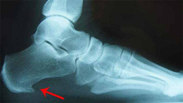
El espolón calcáneo es la calcificación de la unión de la fascia plantar con el hueso calcáneo (talón) y generalmente ocurre por una fascitis plantar crónica que no ha sido tratada. En la Rx se aprecia como una calcificación en forma de espina de rosa o espuela, de ahí su nombre.
*Dolor en el talón.
*Dificultad para apoyar el talón.
*Predominio matutino.
*Puede afectarse uno o ambos talones al mismo tiempo.
*El dolor puede extenderse al pie y la pantorrilla.
-Problemas del arco del pie.
-Sobrepeso
-Edad.
-Calzado con soporte del arco plantar insuficiente o plantilla inadecuada.
-Falta de elasticidad de lumbares, isquiotibiales, pantorrillas, pies.
-Algunas enfermedades sistémicas.
-Permanecer mucho tiempo de pie.
La inflamación crónica o prolongada y dejar pasar los síntomas sin tratamiento por mucho tiempo, pueden ocsionar fibrosis, cicatrices y nódulos fibrosos que serán agravantes para el tratamiento.
La fascitis plantar no requiere exámenes complejos, ya que el exámen físico y la historia clínica pueden identificar el problema: sensibilidad localizada, ubicar la zona de dolor y palpar nódulos y zonas inflamadas. En pocas ocasiones se solicita ecografía o resonancia magnética cuando el diagnóstico es confuso o coexiste con otra patología que debamos realizar diagnóstico diferencial. Se puede identificar el espolón calcáneo en la Rx y en dichos exámenes.
MEDICAMENTOS Y TERAPIAS:
Analgésicos y desinflamatorios en cápsulas o cremas de aplicación local, al igual que la fisioterapia (y las taloneras para espolón calcáneo o reposo) pueden producir livio en etapas iniciales, pero no revierten cambios fbrosos o nodulares en etapas más avanzadas.
INYECCIONES:
Los esteroides inyectados en la fascia plantar y en la zona afectada, pueden corregir el problema por largo tiempo, aunque pueden requerir un refuerzo si las causas no se corrgen o el grado de fibrosis o daño de la fascia es alto. Cuando la persona tiene factores de riesgo, el tratamiento es menos efectivo.

Resección del espolón calcaneo:
Puede realizarse cuando los tratamientos conservadores no logran eliminar el dolor:
-Cirugía ambulatoria: se realiza en sala de procedmientos especiales o en quirófano, con anestesia local, se tiene visión directa o via endoscópica de las estructuras afectadas por lo que se extrae el espolón y se realiza la descompresión de la fascia, remoción de fibrosis, adherencias y tejido inflamatorio patológico. Permite la verificación del funcionamiento del talón por lo que se consideratratamiento definitivo. Se aplican suturas que se retiran a los pocos días.