Los nódulos (o protuberancias) que aparecen en las articulaciones de los dedos de las manos son una patología ocasionada principalmente por el desgaste de las articulaciones. Los traumatismos y enfermedades de depósito también pueden ocasionar nódulos, pero en menor frecuencia.
La erosión o daño del cartílago articular produce una artropatia degenerativa que va modificando el hueso subcondral, por ello las modificacones de longitud y ángulo de inclinación del hueso, pueden ocasionar desviación de las articulaciones (observando los "dedos torcidos"). El daño del cartílago y hueso subcondral produce inflamación de la articulación lo que genera dolor, limitación de los movimientos (sensación de rigidez), sensibilidad aumentada.
Los síntomas más frecuentes de los nódulos son: dolor inicialmente leve, pero puede ir aumentando a moderada o fuerte intensidad. -Episodios de dolor que pueden durar días o semanas y se resuelven espontáneamente, pero pueden regresar tiempo después. -aumento de volumen o masa palpable sobre la articulación, generalmente en el dorso o a los lados de la articulación. -En casos avanzados, la articulación presenta desviación progreiva (el dedo se ve torcido) sin haber tenido un golpe. -Puede haber sensación de rigidez o pérdida de fuerza en las manos. -Sensibilidad aumentada, dolor al tocar superficies incluso suaves.
El diagnóstico de los nódulos de los dedos es principalmente clínico. La inspección visual, la palpación y la verificación de los arcos de movilidad de la articulación afectada generalmente son suficientes para hacer el diagnóstico.
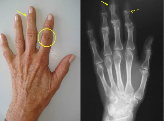
Se puede solicitar una Rx, donde se puede evidenciar daño de la articulación, formación de osteofitos, disminución del espacio articular o luxaxión de las falanges. Estos cambios se conocen como artropatía y ayudan a identificar que tan avanzado está el problema y saber el tratamiento apropiado.
Examenes de laboratorio se pueden solicitar para descartar enfermedades inmunológicas que ataquen el cartilago articular (artritis reumatoirdea), enfermedades por depósito de cristales (uratos, fosfatos, calcio, gota, etc.).
Los tratamientos son variables, funcionales y cosméticos.
Para mantener la función de la articulación:
-Inicialmente analésicos y desinflamatorios con reposo del dedo afectado por unos días.
-La fisioterapia y los ejercicios de estiramiento, evitar esfuerzos muy grandes apretando las manos y dedos.
-Uso de férulas o inmovilizadores.

-En casos de dolor mayor, se pueden realizar infiltraciones intra-articulares, que dan alivio entre varios meses y varios años, dependiendo del esfuerzo que realice la persona con las manos.
