Es la artrosis de la articulacion de la base del dedo pulgar (articulación trapecio-metacarpiana). La rizartrosis es entonces el desgaste del cartilago de la articulación que puede avanzar hasta deteriorar el hueso y los ligamentos de la articulacion de la base del pulgar. Este daño articular es lo que produce dolor en inflamación
*Dolor en la base del pulgar afectado.
*Dificultad para flexionar o extender el dedo.
*Salto, bloqueo parcial o completo del movimiento dle dedo.
*Rigidez matutina.
*Pueden afectarse ambos dedos pulgares, al mismo tiempo.
*El dolor puede extenderse a la muñeca o el antebrazo.
Las causas no estan claramente identificadas porque son por múltiples factores. La genética, lo cual determina el envejecimiento de los tejidos del cuerpo tiene un papel principal, sobrecarga de uso, sobrecarga de peso repetidamente, sexo femenino, enfermedades que atacan el cartilago articular como la artritis reumatoidea, pueden ser elementos de mator riesgo.
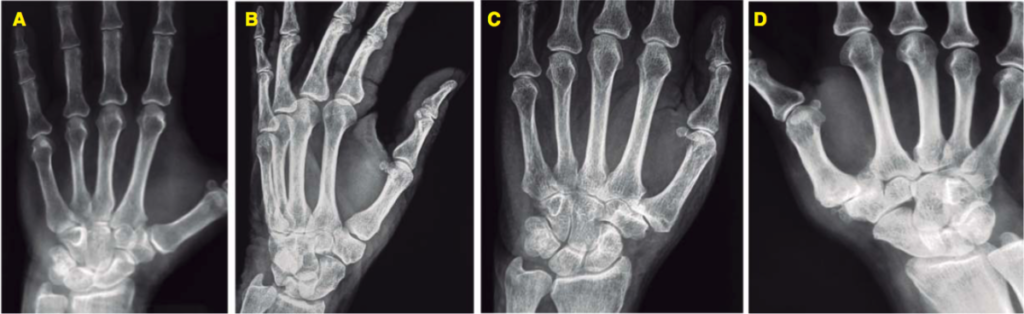
La rizartrosis no requiere examenes complejos, ya que el exámen físico y la historia clínica pueden identificar el problema: abrir y cerrar la mano, ubicar la zona de dolor y palpar nódulos y zonas inflamadas. En pocas ocasiones se solicita ecografía, tomografía o resonancia magnética cuando el diagnóstico es confuso o coexiste con otra patología que debamos realizar diagnóstico diferencial. Tambien se pueden solicitar otros examenes de laboratorio para determinar la causa de la rizartrosis.
MEDICAMENTOS Y TERAPIAS:
Analgésicos y desinflamatorios en cápsulas o cremas de aplicación local, al igual que la fisioterapia (y las férulas, inmovilizadores o reposo) pueden producir livio en etapas iniciales, pero no revierten cambios fibrosos o artrosiscos en etapas más avanzadas que hay deformidad de hueso.
INYECCIONES:
Los esteroides inyectados en la zona afectada, pueden corregir el problema por largo tiempo, aunque pueden requerir un refuerzo si las causas no se corrgen o el grado de fibrosis o daño de hueso es alto. Cuando la persona tiene factores de riesgo, el tratamiento es menos efectivo.

Cirugía:
Puede realizarse de varias maneras:
1) Por interposición de partes blandas.
2) Cirugía de fusión: se realiza artrodiesis con placa o tornillos para fijar la articulación.
3)Prótesis de la articulación: se reemplaza el cartílago y hueso dañado por una protesis de materiales inertes, conservando el funcionamieno del pulgar.