¿EN QUÉ CONSISTE EL TRATAMIENTO DE FRACTURAS?:
El tratamiento de las fracturas consiste en cuatro principios básicos:
- Reducción de la fractura: Alinear el hueso y sus fragmentos, corregir rotación, angulación y longitud del hueso.
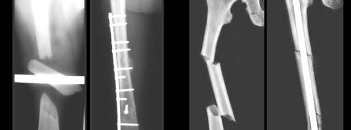
- Fijación estable: La ausencia de movimiento en el foco de fractura permite la calcificación del cayo óseo. Si existe movimiento, el cayo no adquiere la dureza suficiente ocurriendo la complicación llamada PSEUDOARTROSIS". Para lograr la fijación estable, algunos tipos de fractura pueden ser tratados con yesos o ferulas (inmovilizando hasta la articulación por encima y por debajo del hueso fracturado).
Otros tipos de fractura necesitan cirugía (llamada osteosíntesis) para ser fijadas internamente con placas, tornillos, clavos o con fijadores externos, porque los yesos o férulas no logran mantener la alineación, rotación y longitud del hueso afectado por la tensión de los músculos que pasan cerca de él.
- Conservación del aporte vascular: El foco de fractura necesita un adecuado aporte sanguíneo y cuidado del periostio. Cuando se hace cirugía para tratar una fractura, se debe tener especial cuidado en no dañar los vasos sanguíneos, el periostio ni otras estructuras adyacentes. El Daño del aporte vascular puede generar problemas de la consolidación de fracturas
- Movilización precoz:El sistema de fijación debe permitir la rápida movilidad de las articulaciones cercanas, con esto se evita rigidez articular, hipotrofia muscular, fibrosis de tejidos circundantes y muchas otras complicaciones por la inmovilización prolongada.
AVANCES:
En el tratamiento de fracturas, las técnicas quirúrgicas y anestésicas cada vez más novedosas permiten una mejor recuperación. Modernos equipos de imágenes intraoperatorias, nuevos materiales quirúrgicos y procedimientos complementarios permiten mejores resultados con una mínima cicatriz.